Especialista en odontología estética
Te ayudo a recuperar las ganas de sonreír


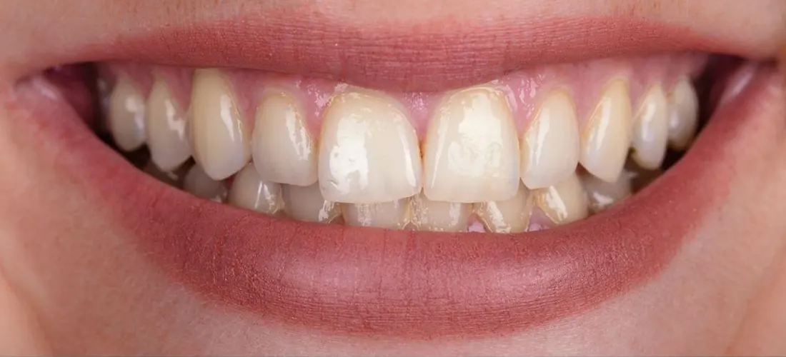
Blanqueamiento
Tratamiento estético, no invasivo, no produce dolor ni alteración alguna en las estructuras del diente, consiste en la aplicación de un gel blanqueador que modifica el color de los dientes, eliminando manchas, haciéndolos más claros, devolviendo el brillo y la frescura en la sonrisa.
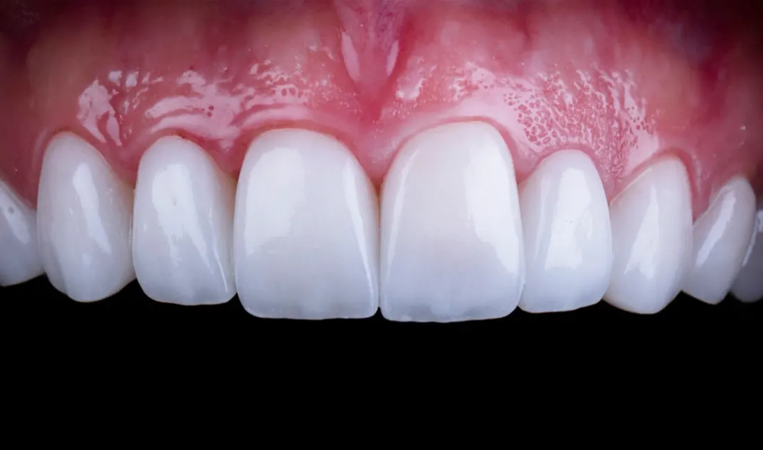
Carillas dentales
Es un tratamiento cosmético mínimamente invasivo, muy conservador, mediante el cual, con la adhesión de materiales de alto valor estético, podemos corregir alteraciones de forma, tamaño y color, produce un cambio significativo en el paciente, quien recupera la seguridad, la autoestima, la armonía y la belleza en sus dientes y sus ganas de volver a sonreír.




Coronas cerámicas
Son la solución perfecta para restaurar de manera definitiva la forma, alineación y color de una pieza dental muy dañada o fracturada con un resultado idéntico o superador a un diente natural.
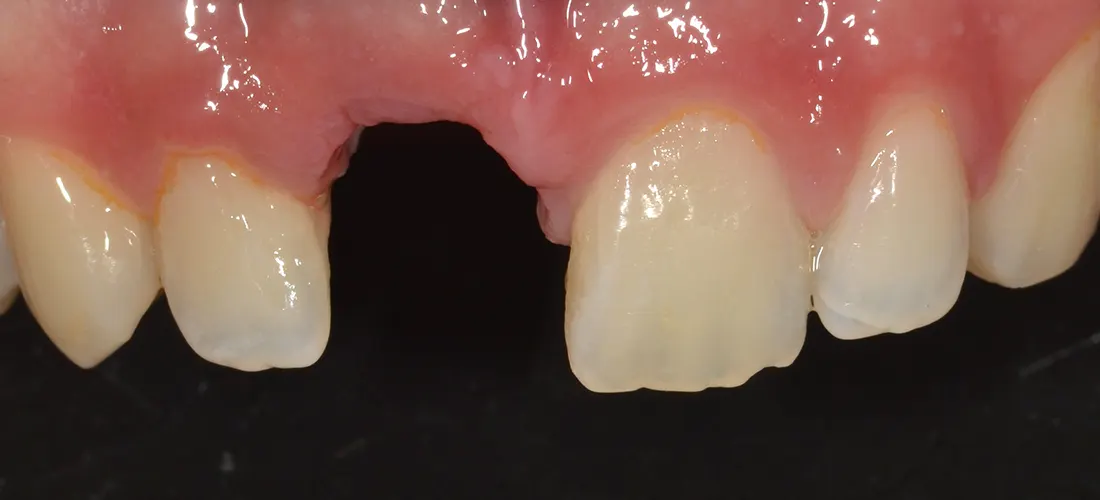
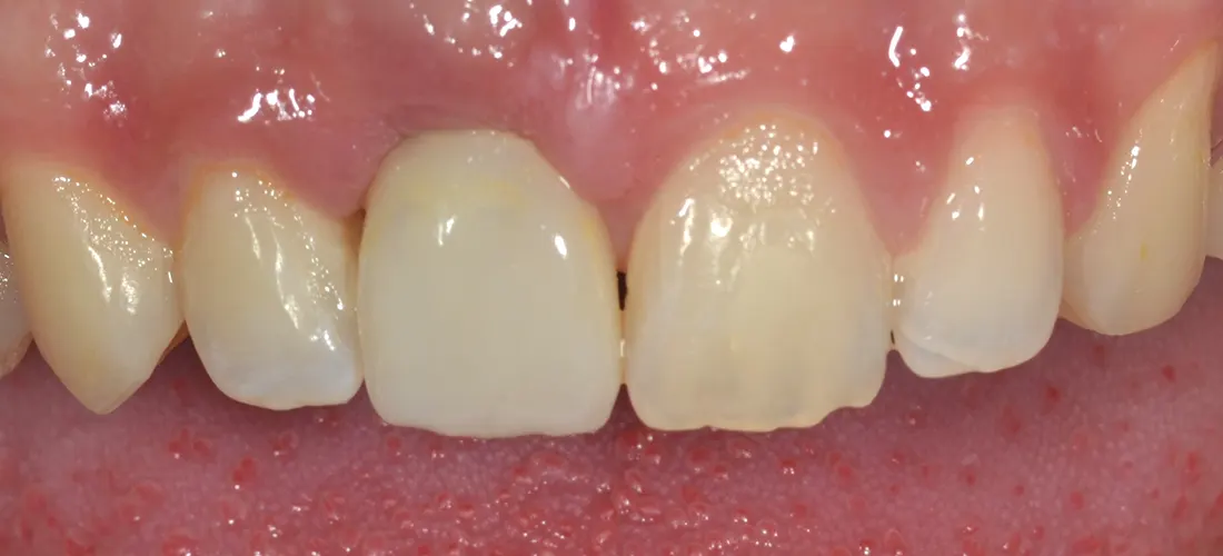
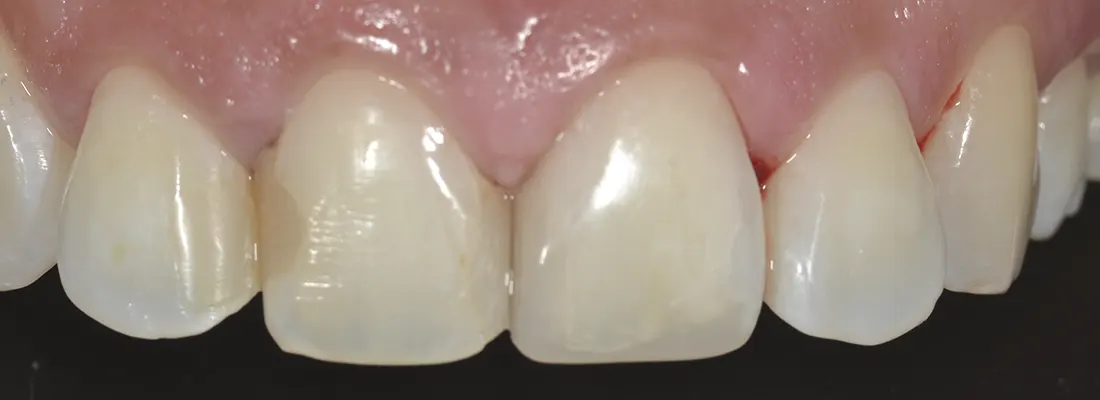
Implantes dentales
Es una excelente solución ante la perdida de piezas dentarias, Con un simple acto quirúrgico, mediante la colocación de tornillos de titanio, devolvemos al paciente las piezas dentarias perdidas, mejorando no solo su eficacia masticatoria, sino su función y su estética.




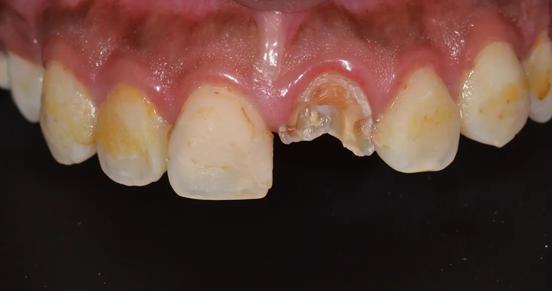
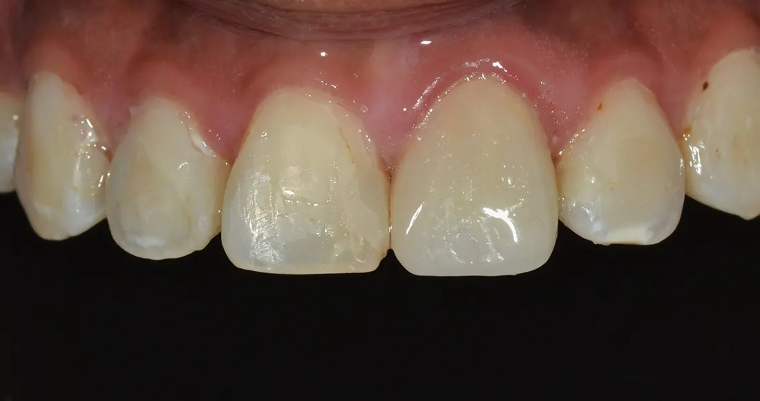
Restauraciones estéticas
Damos solución a piezas dentarias con enfermedad o traumatismos en una sola sesión, con inmediatez y resultados muy satisfactorios para el paciente.
Tecnología
La excelencia académica se une a la tecnología dental de vanguardia.
Estamos inmersos en el mundo de la Odontología Digital y el Mundo 3D. La obtención de imágenes 3D con escáneres dentales, la utilización de programas de diagnóstico y diseño de piezas dentarias y sonrisas.
Contamos con laboratorio propio para la manufactura y fabricación de piezas dentales estéticas con impresoras 3D y fresadoras dentales de última generación.














